Kathryn’s Story
23 July 2019
Kathryn's Story
Here Kathryn honestly opens up to us about her journey and experiences with NF2:
"I was diagnosed with NF2 when I was 16 years old. One night I woke up with ringing in my right ear and a deafness in my right.
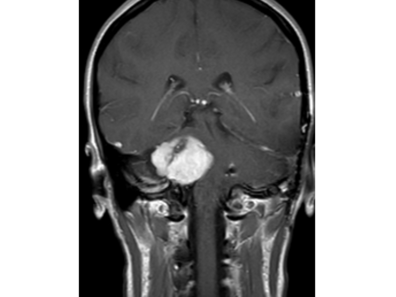
We went to the doctor the next day and after discovering that my eardrum looked healthy they decided to do an MRI. There results of the MRI found two bilateral schwannomas on my left and right auditory nerve near my brain stem.
After a lot of deliberation, my doctor decided to try to get me into a medical study that used chemotherapy to try and shrink the tumor and restore my hearing, it was the only treatment available at the time. I was in chemo for two years with quarterly MRIs scheduled. My right side tumor Stabilized but my left side kept growing. In 2017, I flew to California to have my left side of my tumour removed as it was pressing dangerously on my brain stem.
I was having vertigo problems with my coordination and balance facial nerve ticks and tinnitus. To have my surgery I went to the house clinic in California, the tumor had grown to over 6 cm meaning the surgery was 19 hours, I also received an AVI.
As a result I was fully deaf in my left ear and had partial facial paralysis from damage from the surgery, howeveer since my right side tumor had been stable I felt like I was in the clear. I had a few follow up MRIs after, before an MRI in August 2018 showed that my left side tumor had grown substantially.
Unfortunately somehow there was a lack of proper communication between me and my California doctors, meaning that I did not find out that the tumor was growing until December 2018. In January 2019 my right ear, my remaining hearing ear, had a major hearing loss drop. I have a loss of hearing of lower pitches and a 4% word association as well as tinnitus in both ears. The doctors are deliberating if I should fly to California and have a whole removal or if I should have a debulking surgery getting rid of the tumor near the brainstem and then having a few rounds of radiation to try to shrink the tumor near the hearing nervous in order to attempt to restore or retain as much hearing as I have left.
My eyesight has gotten worse as well my balance and coordination. I am still in the middle of my journey, I am learning how to cope with extreme hearing loss and learning ASL. My remaining tumour is about 4 cm now and growing into my brain stem. I have a little time to decide the next step but I am sure God will make my decision for the next step clear to me."
Filter News

10 mile walk for Lily
Read more about the 10 mile sponsored walk for Lily, organised by Claire, with her nursery team, family & friends taking part
Read More_2_800_600_s_c1.jpg)
NF & Sport: Joy’s Journey
Find out more about the impact of sport on Joy's NF1 journey & how running changed her life forever.
Read More_5_800_600_s_c1.jpg)
Safiya’s NF1 Journey
Find out more about Safiya & how her NF1 diagnosis has made her 'determined to make a difference'.
Read More_1_800_600_s_c1.png)
The Boy Who Played Cricket
Take a look behind the scenes of team NTUK's visit to the 'The Boy Who Played Cricket' opening.
Read More_800_600_s_c1.jpg)
Ella’s Story
Ella shares her insights into campus life with NF; her victories & hurdles & the importance of self- belief.
Read More_800_600_s_c1.png)
Amit Ghose: The Unscripted Podcast
Caught the brand new pod by NTUK Ambassador Amit Ghose? Everything you need to know about The Unscripted Podcast inside.
Read More
Oliver’s Blog
Oliver Bromley shares some personal experiences of visible difference, and how education and kindness can reduce stigma.
Read More_2_800_600_s_c1.jpg)
3BM & Fusion’s Purple Forum nominate Nerve Tumours UK as their Charity of the Year
Take a look inside Purple Forum and how they're raising awareness and funds for the NF community.
Read More_2_800_600_s_c1.jpg)
George, Alisya’s & Leo’s NF1 Story
Find out how George and his team at Rolls Royce are raising NF awareness because of NF hero Leo.
Read More