Helpline 07939 046 030
Freephone 0300 102 17 22*

Understanding Neurofibromatosis Type 1 (NF1): A surgeon’s thoughts

16 October 2025

Some thoughts from a surgeon treating patients with Neurofibromatosis Type 1

Hello, my name is Mr. Chris Duff. I'm a plastic surgeon working in a large team of doctors in Manchester, England. We are here to help people who have Neurofibromatosis Type 1, also known as NF1.  We also see people with NF2-related Schwannomatosis, also known as NF2, and Schwannomatosis. 

We have special clinics for people who need extra help because of their NF1. Our goal is to:

  • Find out if you have NF1, or if you have a new health problem related to it.
  • Keep a close eye on your health using our medical knowledge and special tests.

Our team is made up of many different doctors and specialists, all working together. We have experts who focus on:

  • Genes (Genetics)
  • The brain and spine and nerves (Neurology, Neurosurgery, Spinal Surgery)
  • Bones (Orthopaedic Surgery)
  • Skin (Plastic Surgery)
  • Kidneys and bladder (Urology)
  • Cancer (Oncology, Neuro-Oncology)
  • Special scans and tests (Radiology)

We also work with nurses, psychologists (who help with feelings), and physiotherapists (who help with movement).

Questions You Might Have

Here are some common questions we hear, with simple answers.

1. I think I might have NF1. Who should I talk to?

Some people know they have NF1 from a young age because it runs in their family. Others might be diagnosed as children or even later on. You should always start by talking to your family doctor. They can send you to a specialist who can help.

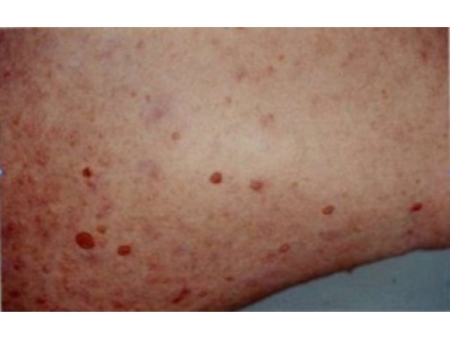
2. I have lots of skin lumps (neurofibromas). Can they be removed?

Many people with NF1 have small, soft lumps on their skin. Sometimes, they can get in the way of your clothes or your work equipment. If these lumps bother you, you can talk to your family doctor about them.

3. I have a new lump that is painful. Is this a problem?

Lumps related to NF1 usually grow very slowly or not at all. If you notice a lump that suddenly gets bigger or becomes painful, it's very important to tell your doctor right away. While most of these lumps are not serious, we want to check any new problems quickly.

4. I have NF1. Will I pass it on to my children?

If you have NF1, there is a 50% chance (a 1 in 2 chance) that you will pass it on to each of your children. There are special tests and procedures that some people can use to reduce this risk, but they may not be available everywhere.

5. I was told I have "mosaic NF1." What does that mean?

This is a special kind of NF1. It means that not all the cells in your body are affected. For example, the condition might only affect one part of your body, like one arm or leg. The problems you have in that area can be the same as someone with full NF1. The chance of passing this type on to your children is much lower—only about 1% (1 in 100).

If you have any questions, please contact us - we are here to help. Our Helpline is available on Monday, Wednesday and Friday 9am-5pm. Call 07939 046 030/ Freephone 0300 102 17 22 or email helpline@nervetumours.org.uk.

Masterclasses in NF: Ophthalmologic Findings & Orthopic Eye Examination in NF1 and NF2-Related Schwannomatosis

Ophthalmologic Findings & Orthopic Eye Examination in NF1 and NF2-Related Schwannomatosis

Prof. Dr. Berthold Pemp

OT Sabine Koinig

Masterclasses in NF: Plexiform Neurofibromas in NF1 - General Course and Neuroradiology

Plexiform Neurofibromas in NF1 - General Course and Neuroradiology

Assoc. Prof. Dr. Gregor Kasprian

Dr. Hector Salvador, MD

Masterclasses in NF: The Patients’ Perspective: A Masterclass on NF Care Held by NF Patients

Masterclasses in NF: Treatment Strategies for Vestibular Schwannomas: When to Treat? How to Treat?

Treatment Strategies for Vestibular Schwannomas: When to Treat? How to Treat?

 

Michel Kalamarides MD

Masterclasses in NF: Management Of Plexiform Neurofibromatosis in NF1- Rianne Oosterbrink, Justus L Groen, Karine Lascelles

Masterclasses in NF1: 1.Management Of Plexiform Neurofibromatosis in NF1

Rianne Oosterbrink MD

Justus L Groen MD

Karine Lascelles MD

Masterclasses in NF: Constitutional Mismatch Repair Deficiency Syndrome as Differential Diagnosis to NF1/Legius Syndrome - Prof. Dr. Katharina Wimmer

Constitutional Mismatch Repair Deficiency Syndrome as Differential Diagnosis to NF1/Legius Syndrome

Prof. Dr. Katharina Wimmer, Medical University of Innsbruck

Masterclasses in NF: Rare NF1-Associated Tumors in Adults - Eric Legius & Prof. Ellen Denayer

Masterclasses in NF: Rare NF1-Associated Tumors in Adults

Eric Legius, MD, PhD, University Hospital Leuven

Prof. Ellen Denayer, University Hospital Leuven

Masterclasses in NF: Optimising Hearing Outcomes in NF2-Related Schwannomatosis - Simon Freeman

Masterclasses in NF: Optimising Hearing Outcomes in NF2-Related Schwannomatosis

Simon Freeman, MPhil FRCS, Manchester Royal Infirmary and Salford Royal Hospital

Masterclasses in NF: NF1 Dermatological Manifestations - Pierre Wolkenstein, Laura Fertitta & Sirkku Peltonen

Masterclasses in NF: NF1 Dermatological Manifestations

Pierre Wolkenstein, MD, PhD, Hopital Henri-Mondor, Paris, France

Laura Fertitta, MD, Hôpital Universitaire Henri Mondor

Sirkku Peltonen, MD, PhD, University of Gothenberg, Sweden

Masterclasses in NF: Breast Cancer in NF1 - Gareth Evans

Masterclasses in NF: Breast Cancer in NF1

Gareth Evans, MD, University of Manchester, UK

Masterclasses in NF: Pain in Non-NF2-Related Schwannomatosis - David Pang

Masterclasses in NF: Pain in Non-NF2-Related Schwannomatosis

David Pang, MD, ChB. Guys and St Thomas' Hospital NHS Trust, London

Masterclasses in NF: Distinguishing Non-NF2-Related from NF2-Related Schwannomatosis - Clinical and Genetic Approaches - Said Farschtschi

Masterclasses in NF: Distinguishing Non-NF2-Related from NF2-Related Schwannomatosis - Clinical and Genetic Approaches

Said Farschtschi, MD, University Medical Center, Hamburg-Eppendorf, Germany

Masterclasses in NF: NF1 Pre-Implantation Genetic Diagnosis - Eric Legius & Prof. Ellen Denayer

Masterclasses in NF: NF1 Pre-Implantation Genetic Diagnosis

Eric Legius, MD, PHD, University Hospital of Leuven, Belgium

Prof. Ellen Denayer, University Hospital of Leuven, Belgium

NF2 Working Together: from a tentative diagnosis and beyond

Understanding the impact that a tentative diagnosis has on a parent. Information and access to the existing NTUK and Specialist Nerve Tumours medical and non medical care network.

NF1 Working Together Part 2: from a tentative diagnosis and beyond

Understanding the impact that a tentative diagnosis has on a parent. Information and access to the existing NTUK and Specialist Nerve Tumours medical and non medical care network.

NF1 Working Together Part 1: from a tentative diagnosis and beyond

Understanding  the impact that a tentative diagnosis has on a parent. Information and access to the existing NTUK and Specialist Nerve Tumours medical and non medical care network.

Masterclasses in NF: Surgery in NF2 - Michel Kalamarides & Andrew King

Masterclasses in NF: Surgery in NF2

Michel Kalamarides, MD, PhD, Hôpital Pitié-Salpêtrière, Paris, France

Prof Andrew King, MBBS FRCS FRCS(SN), Salford Royal Hospital, Manchester, United Kingdom. Member of the MAB of Nerve Tumours UK

Masterclasses in NF: Cognition and Behaviour in NF1: Phenotype and Treatment Approaches - Shruti Garg, Andre Rietman

Masterclasses in NF: Cognition and Behaviour in NF1: Phenotype and Treatment Approaches

Dr Shruti Garg, MBBS, MRCPsych, MMedSci, PhD, Royal Manchester Children’s Hospital, United Kingdom. Member of the MAB of Nerve Tumours UK

Andre Rietman, PhD, Erasmus University Medical Center, Rotterdam, Netherlands

Masterclasses in NF: Emotional Challenges in NF1, NF2 and Schwannomatosis - Susie Henley, Thomas Pletschko & Verena Rosenmayr

Masterclasses in NF: Emotional Challenges in NF1, NF2 and Schwannomatosis

Susie Henley, DClinPsy, PhD, Guy’s and St Thomas’ NHS Foundation Trust, London UK

Thomas Pletschko, PhD, Medical University of Vienna, Austria

Verena Rosenmayr, Clinical Psychologist, Medical University of Vienna, Austria

Masterclasses in NF: NF1 Pediatric Management - Rianne Oostenbrink

Masterclasses in NF: NF1 Pediatric Management

Rianne Oostenbrink, MD, PhD, Erasmus University Medical Center, Rotterdam, Netherlands

Masterclasses in NF: Associated Glioma in Children - the Optic Pathway and Beyond - Amedeo Azizi

Masterclasses in NF: Associated Glioma in Children - the Optic Pathway and Beyond

Amedeo Azizi, MD, PhD, Head of the Paediatric Neurofibromatosis Program and Paediatric Neuro-Oncology Program, Medical University of Vienna, Austria

Masterclasses in NF: NF1 Orthopedic Manifestations - Eric Legius and Christophe Glorion

Masterclasses in NF: NF1 Orthopedic Manifestations

Eric Legius, MD, PhD. Head of Clinical Genetics Department of the University Hospital Leuven, Belgium

Christophe Glorion, MD, PhD, Department of Paediatric Orthopedic and Traumatologic Surgery, Hopital Necker-Enfants Malades, Paris, France. 

Masterclasses in NF: NF1 Malignant Peripheral Nerve Sheath Tumours - Rosalie Ferner and Viktor-Felix Mautner

Masterclasses in NF: NF1 Malignant Peripheral Nerve Sheath Tumours

Prof Rosalie Ferner, Consultant Neurologist and Lead Clinician for Neurofibromatosis, Guy's and St. Thomas' NHS Foundation Trust, London. Member of the MAB of Nerve Tumours UK and Trustee of Nerve Tumours UK

Viktor-Felix Mautner, MD, PhD. University Medical Centre in Hamburg-Eppendorf, Germany. Head of NF Outpatient Department

Masterclasses in NF - Neurofibromatosis Type 1: Cutaneous Neurofibromas - Pierre Wolkenstein and Sirkku Peltonen

Masterclasses in NF - Neurofibromatosis Type 1: Cutaneous Neurofibromas

Pierre Wolkenstein, MD, PhD. Hopital Henri-Mondor, Paris, France. Head of the Department of Dermatology

Sirkku Peltonen MD, PhD. University of Gothenberg, Sweden. Professor of Dermatology

INFER (International NF Educational Resources) is a series of online educational lectures for medical professionals by leading neurofibromatosis experts. The Masterclasses take place online approximately once a month, each on a different topic, and include real-time interaction between the expert presenter and the participants. The presentations are conducted in English, with real-time audio interpretation available in 6 additional languages: French, German, Italian, Portuguese, Russian, and Spanish. A recording of each INFER masterclass is then be made available online in each language for those who could not attend an event. INFER is an initiative of Children’s Tumor Foundation Europe, supported by an educational grant from AstraZeneca. https://ctfeurope.org/research/masterclasses-in-nf

BPNA Keynote Lecture - Prof Rosalie Ferner - Neurofibromatosis 1 in the 21st Century

‘Neurofibromatosis 1 in the 21st Century’

Keynote Lecture at the 48th British Paediatric Neurology Association Annual Scientific Meeting on 21st January 2022

Prof Rosalie Ferner, Consultant Neurologist and Lead Clinician for Neurofibromatosis, Guy's and St. Thomas' NHS Foundation Trust, London. Member of the MAB of Nerve Tumours UK and Trustee of Nerve Tumours UK